M. Lucius Pomerantz, MD

The radius bone is the larger of the two bones in the forearm as it goes into the wrist. Distal means the end that is further from the center of the body. The wrist is complex and needs to be able to move in all directions. The radius makes a connection, or joint, with the other bone of the forearm called the ulna. It also has joints with two of the small bones in the wrist called the lunate and the scaphoid. Since the radius is the largest bone, most of the forces that go through the wrist go through the distal radius. If the radius does not have the proper alignment, then the biomechanics of the wrist can be altered, which could result in limited range of motion, pain, stiffness, and development of osteoarthritis.
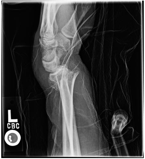
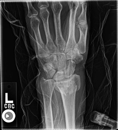
Distal radius fractures occur in just about any situation where force can be transmitted across the wrist – sports, car crashes, or simple falls. The most common cause of these fractures is a fall on an outstretched hand as most people will put their arms out to help break their fall. The force that is transmitted through the hand goes into the wrist causing the distal radius to break. The nature and severity of these fractures varies. The pieces of bone may move away from each other, they may involve the wrist joint(s), and there can be other associated injuries. There is often a significant amount of pain, swelling, and bruising around the wrist.
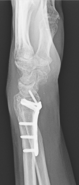
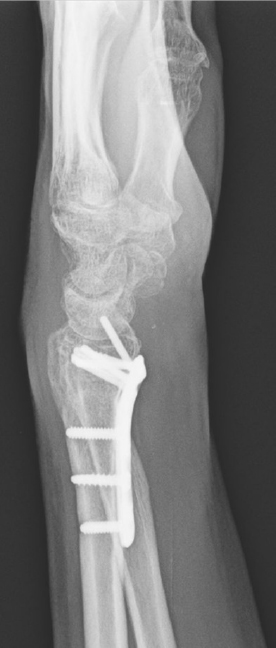
X-rays will be used to confirm the diagnosis. Fortunately, many of these fractures can be treated without surgery. Sometimes, the best thing is to push the fracture back into a better position and then hold it there with a cast. However, there are occasions where surgery is the best option. Surgery allows for the bones to be held in a better position more securely. With surgery, the bones can be held in place with pins, plates, and screws, and sometimes a combination of all of these. No matter the treatment, these fractures usually require at least 6 weeks to heal before it is ok to begin using the hand and wrist without restriction, but it often takes months before the pain and the stiffness fully resolve.
Case example
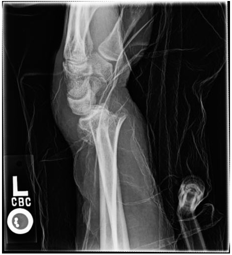
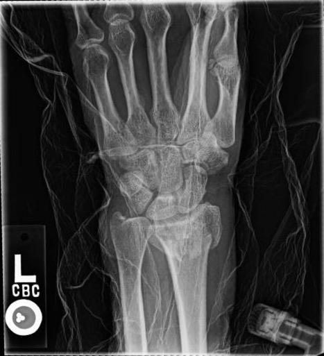
60-year-old female without other medical problems fell and landed primarily on her left hand and wrist. She had immediate pain and deformity at the wrist. She went to the emergency room where x-rays were performed showing her injury – a distal radius fracture. An attempt was made at improving the fracture position by the emergency room doctors and she was splinted. She was then referred to my clinic. She was seen soon afterwards. It was noted on new x-rays that the broken bone was in a less than ideal position. After a thorough discussion of the patient’s goals and concerns, surgery was felt to be the best option for her. Surgery was performed one week after her initial injury under general anesthesia. She was allowed to begin moving her wrist after her first post-operative visit 10 days after surgery and begin full weight bearing on the hand and wrist just under 6 weeks after surgery. She now has full function.





